-
Saving lives through crowdsourcing human intelligence backed by machine learning
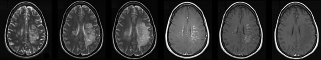
Leveraging crowdsourcing expertise backed by AI/ML developed internally and through partners to improve accuracy and expedite diagnosis.
Leveraging crowdsourcing expertise backed by AI/ML developed internally and through partners to improve accuracy and expedite diagnosis.